JavaScript is disabled in your browser. Please enable JavaScript to view this website.

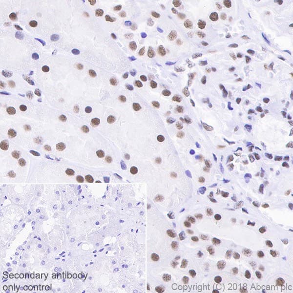
Anti-SNF5/SMARCB1 antibody [EPR20189] - BSA and Azide free(ab233399)

$undefined

Anti-SNF5/SMARCB1 antibody [EPR20189] - BSA and Azide free(ab233399)

Rabbit Recombinant Monoclonal SNF5/SMARCB1 antibody. Carrier free. Suitable for IP, WB, ICC/IF, Flow Cyt (Intra), IHC-P and reacts with Mouse, Rat, Human samples.
Specifications
Shipped At Conditions Blue Ice
Appropriate Long term Storage Conditions Store at +4°C.
Clonality Monoclonal
Applications Flow Cyt (Intra), ICC/IF, IHC-P, IP, WB
Species Reactivity Human, Mouse, Rat
Isotype IgG