JavaScript is disabled in your browser. Please enable JavaScript to view this website.

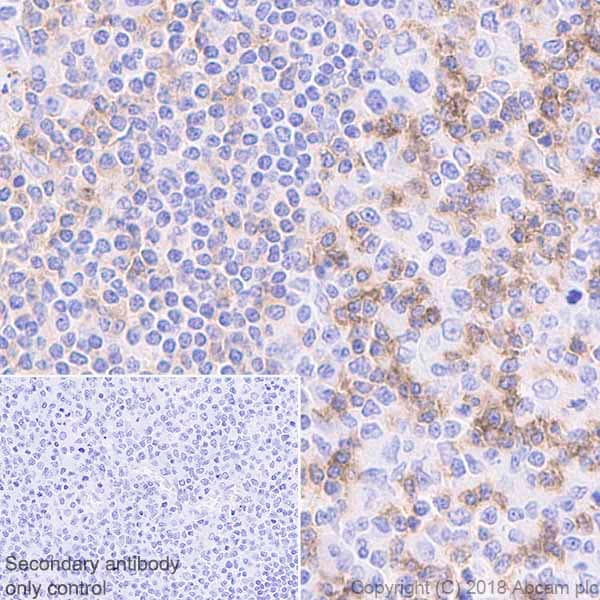
Anti-CD69 antibody [EPR21814](ab233396)

$undefined

Anti-CD69 antibody [EPR21814](ab233396)

Anti-CD69 antibody [EPR21814](ab233396)

Anti-CD69 antibody [EPR21814](ab233396)

Anti-CD69 antibody [EPR21814](ab233396)

Anti-CD69 antibody [EPR21814](ab233396)

Rabbit Recombinant Monoclonal CD69 antibody. Suitable for IP, WB, IHC-P and reacts with Human samples. Cited in 12 publications.
Specifications
Shipped At Conditions Blue Ice
Appropriate Long term Storage Conditions Store at -20°C.
Clonality Monoclonal
Applications IHC-P, IP, WB
Species Reactivity Human
Isotype IgG