JavaScript is disabled in your browser. Please enable JavaScript to view this website.

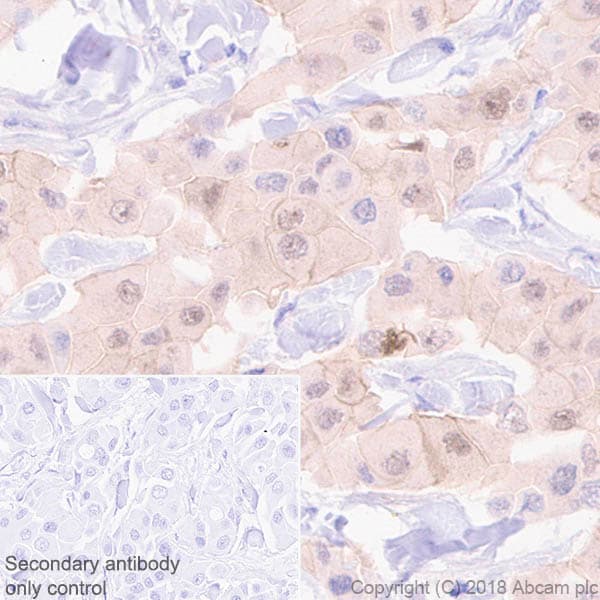
Anti-Brk/PTK6 antibody [EPR21051-96](ab233392)

$undefined

Anti-Brk/PTK6 antibody [EPR21051-96](ab233392)

Anti-Brk/PTK6 antibody [EPR21051-96](ab233392)

Anti-Brk/PTK6 antibody [EPR21051-96](ab233392)

Anti-Brk/PTK6 antibody [EPR21051-96](ab233392)

Anti-Brk/PTK6 antibody [EPR21051-96](ab233392)

Rabbit Recombinant Monoclonal Brk/PTK6 antibody. Suitable for IP, WB, Flow Cyt (Intra), IHC-P and reacts with Human samples. Cited in 3 publications.
Specifications
Shipped At Conditions Blue Ice
Appropriate Long term Storage Conditions Store at -20°C.
Clonality Monoclonal
Applications Flow Cyt (Intra), IHC-P, IP, WB
Species Reactivity Human
Isotype IgG