JavaScript is disabled in your browser. Please enable JavaScript to view this website.

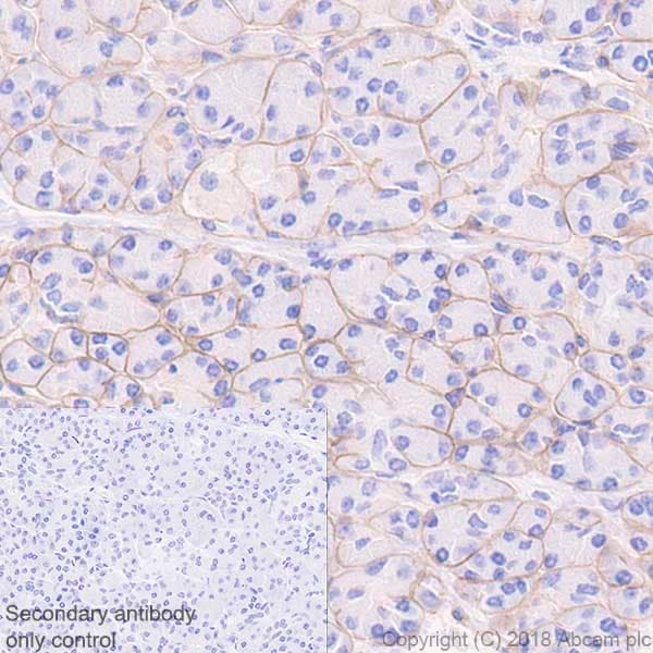
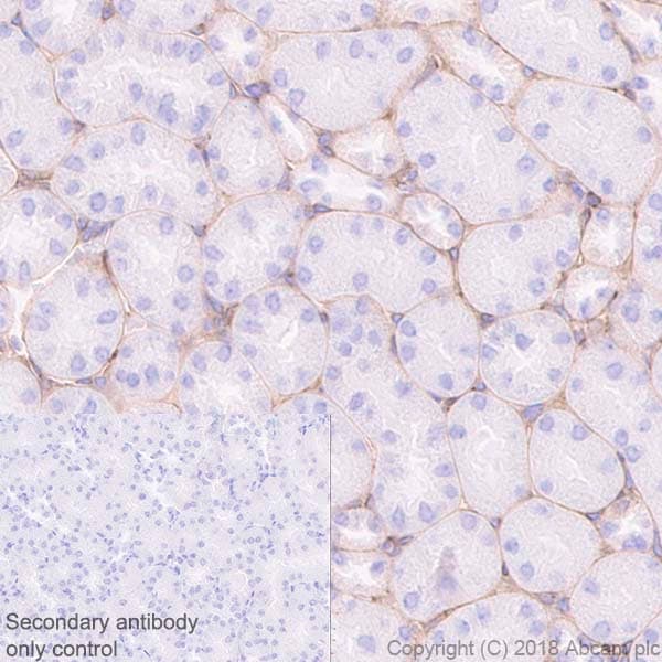
Anti-Laminin gamma 1 antibody [EPR21199](ab233389)

$undefined

Anti-Laminin gamma 1 antibody [EPR21199](ab233389)

Anti-Laminin gamma 1 antibody [EPR21199](ab233389)

Anti-Laminin gamma 1 antibody [EPR21199](ab233389)

Anti-Laminin gamma 1 antibody [EPR21199](ab233389)

Anti-Laminin gamma 1 antibody [EPR21199](ab233389)

Anti-Laminin gamma 1 antibody [EPR21199](ab233389)

Anti-Laminin gamma 1 antibody [EPR21199](ab233389)

Rabbit Recombinant Monoclonal LAMC1 antibody. Suitable for IP, WB, Flow Cyt (Intra), IHC-P and reacts with Human, Mouse, Rat samples. Cited in 6 publications.
Specifications
Shipped At Conditions Blue Ice
Appropriate Long term Storage Conditions Store at -20°C.
Clonality Monoclonal
Applications Flow Cyt (Intra), IHC-P, IP, WB
Species Reactivity Human, Mouse, Rat
Isotype IgG