JavaScript is disabled in your browser. Please enable JavaScript to view this website.

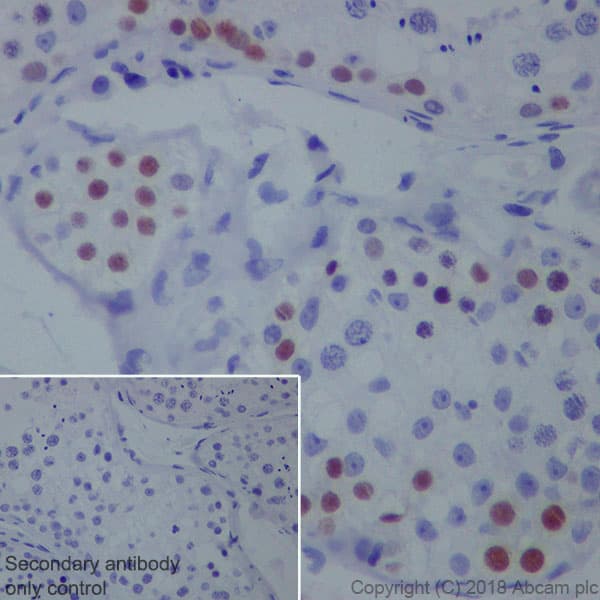
Anti-SAGE1 antibody [EPR21747](ab233388)

$undefined

Anti-SAGE1 antibody [EPR21747](ab233388)

Anti-SAGE1 antibody [EPR21747](ab233388)

Anti-SAGE1 antibody [EPR21747](ab233388)

Anti-SAGE1 antibody [EPR21747](ab233388)

Anti-SAGE1 antibody [EPR21747](ab233388)

Rabbit Recombinant Monoclonal SAGE1 antibody. Suitable for IHC-P, mIHC and reacts with Human samples.
Specifications
Shipped At Conditions Blue Ice
Appropriate Long term Storage Conditions Store at -20°C.
Clonality Monoclonal
Applications IHC-P, mIHC
Species Reactivity Human
Isotype IgG