JavaScript is disabled in your browser. Please enable JavaScript to view this website.

Anti-MRP4 antibody [EPR20403](ab233382)

$undefined

Anti-MRP4 antibody [EPR20403](ab233382)

Anti-MRP4 antibody [EPR20403](ab233382)

Anti-MRP4 antibody [EPR20403](ab233382)

Anti-MRP4 antibody [EPR20403](ab233382)

Anti-MRP4 antibody [EPR20403](ab233382)

Anti-MRP4 antibody [EPR20403](ab233382)

Anti-MRP4 antibody [EPR20403](ab233382)

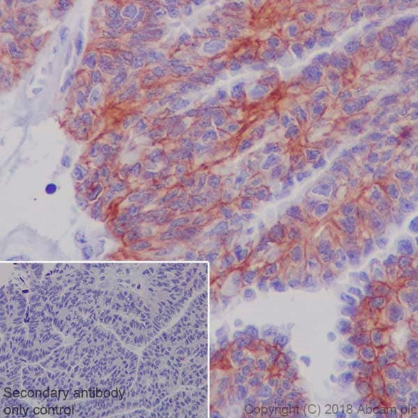
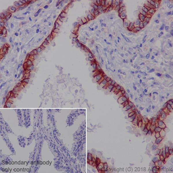
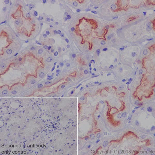
Rabbit Recombinant Monoclonal MRP4 antibody. Suitable for IP, WB, ICC/IF, IHC-P and reacts with Human samples. Cited in 1 publication.
Specifications
Shipped At Conditions Blue Ice
Appropriate Long term Storage Conditions Store at -20°C.
Clonality Monoclonal
Applications ICC/IF, IHC-P, IP, WB
Species Reactivity Human
Isotype IgG