JavaScript is disabled in your browser. Please enable JavaScript to view this website.

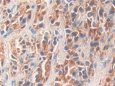
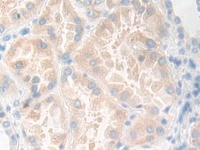
Anti-Kallikrein 11 antibody(ab233278)

$undefined

Anti-Kallikrein 11 antibody(ab233278)

Anti-Kallikrein 11 antibody(ab233278)

Anti-Kallikrein 11 antibody(ab233278)

Anti-Kallikrein 11 antibody(ab233278)

Anti-Kallikrein 11 antibody(ab233278)

Anti-Kallikrein 11 antibody(ab233278)

Rabbit Polyclonal Kallikrein 11 antibody. Suitable for WB, IHC-P and reacts with Mouse, Human samples. Immunogen corresponding to Recombinant Fragment Protein within Human Kallikrein-11 aa 1 to C-terminus.
Specifications
Shipped At Conditions Blue Ice
Appropriate Long term Storage Conditions Store at -20°C.
Clonality Polyclonal
Applications IHC-P, WB
Species Reactivity Human, Mouse
Isotype IgG