JavaScript is disabled in your browser. Please enable JavaScript to view this website.

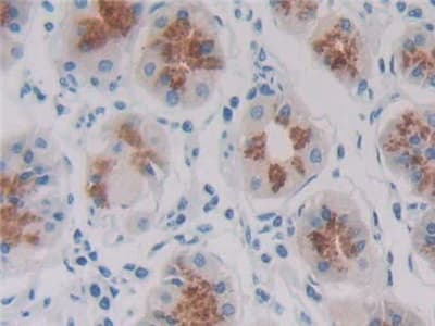
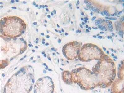
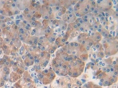
Anti-REG1B antibody(ab233210)

$undefined

Anti-REG1B antibody(ab233210)

Anti-REG1B antibody(ab233210)

Anti-REG1B antibody(ab233210)

Anti-REG1B antibody(ab233210)

Anti-REG1B antibody(ab233210)

Rabbit Polyclonal REG1B antibody. Suitable for WB, IHC-P and reacts with Mouse, Recombinant fragment - Human, Human samples. Immunogen corresponding to Recombinant Full Length Protein corresponding to Human Lithostathine-1-beta.
Specifications
Shipped At Conditions Blue Ice
Appropriate Long term Storage Conditions Store at -20°C.
Clonality Polyclonal
Applications IHC-P, WB
Species Reactivity Human, Mouse
Isotype IgG