JavaScript is disabled in your browser. Please enable JavaScript to view this website.

Anti-Cytokeratin 19 antibody [EPNCIR127B] - BSA and Azide free(ab233174)

$undefined

Anti-Cytokeratin 19 antibody [EPNCIR127B] - BSA and Azide free(ab233174)

Anti-Cytokeratin 19 antibody [EPNCIR127B] - BSA and Azide free(ab233174)

Anti-Cytokeratin 19 antibody [EPNCIR127B] - BSA and Azide free(ab233174)

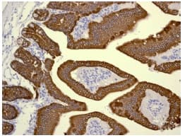
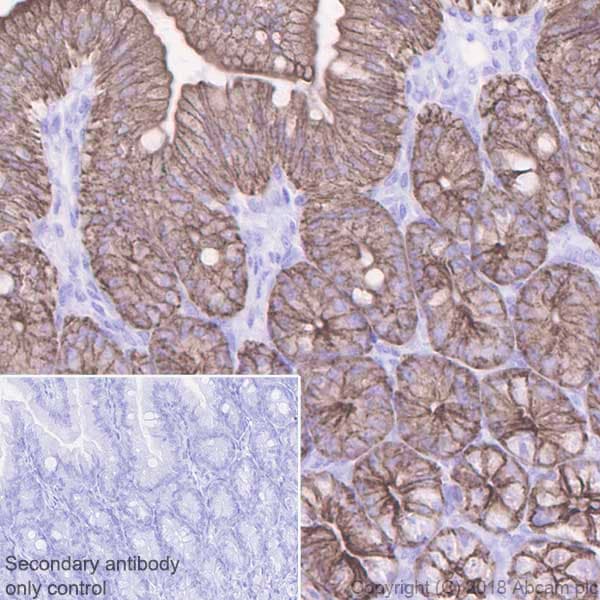
Rabbit Recombinant Monoclonal Cytokeratin 19 antibody. Carrier free. Suitable for WB, IHC-P and reacts with Mouse samples.
Specifications
Shipped At Conditions Blue Ice
Appropriate Long term Storage Conditions Store at +4°C.
Clonality Monoclonal
Applications IHC-P, WB
Species Reactivity Mouse
Isotype IgG