JavaScript is disabled in your browser. Please enable JavaScript to view this website.

Anti-CD68 antibody [KP1] - BSA and Azide free(ab233172)

$undefined

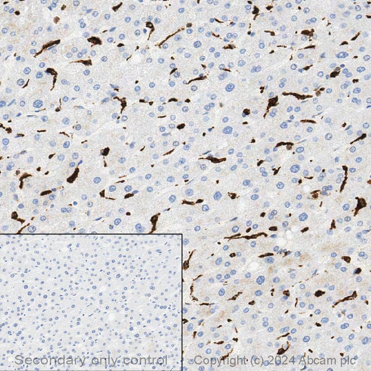
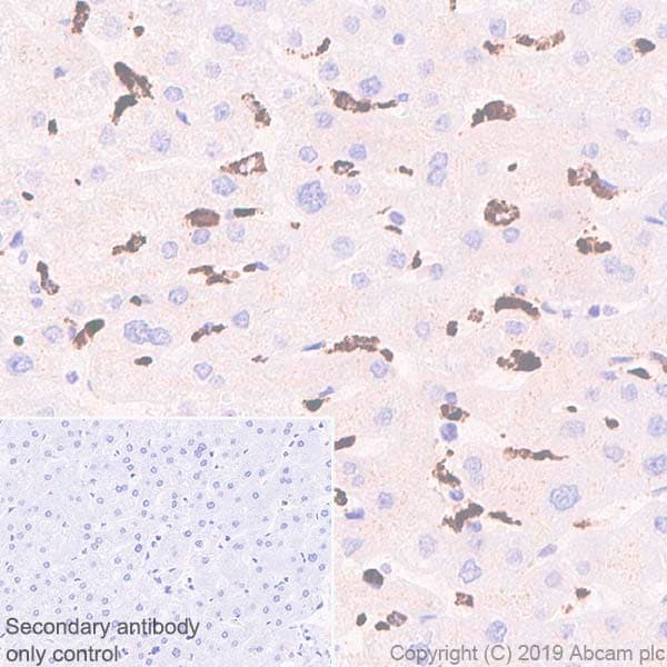
Anti-CD68 antibody [KP1] - BSA and Azide free(ab233172)

Anti-CD68 antibody [KP1] - BSA and Azide free(ab233172)

Anti-CD68 antibody [KP1] - BSA and Azide free(ab233172)

Anti-CD68 antibody [KP1] - BSA and Azide free(ab233172)

Anti-CD68 antibody [KP1] - BSA and Azide free(ab233172)

Anti-CD68 antibody [KP1] - BSA and Azide free(ab233172)

Mouse Recombinant Monoclonal CD68 antibody. Carrier free. Suitable for WB, Mass Cytometry, ICC/IF, IHC-P and reacts with Human samples. Cited in 3 publications.
Specifications
Shipped At Conditions Blue Ice
Appropriate Long term Storage Conditions Store at +4°C.
Clonality Monoclonal
Applications ICC/IF, IHC-P, Mass Cytometry, WB
Species Reactivity Human, Mouse, Rat
Isotype IgG1