JavaScript is disabled in your browser. Please enable JavaScript to view this website.

Anti-PGK1 antibody(ab233135)

$undefined

Anti-PGK1 antibody(ab233135)

Anti-PGK1 antibody(ab233135)

Anti-PGK1 antibody(ab233135)

Anti-PGK1 antibody(ab233135)

Anti-PGK1 antibody(ab233135)

Anti-PGK1 antibody(ab233135)

Anti-PGK1 antibody(ab233135)

Anti-PGK1 antibody(ab233135)

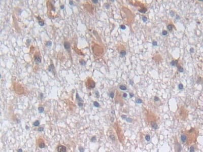
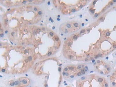
Rabbit Polyclonal PGK1 antibody. Suitable for WB, IHC-P, ICC/IF and reacts with Human samples. Cited in 2 publications. Immunogen corresponding to Recombinant Full Length Protein corresponding to Human Phosphoglycerate kinase 1.
Specifications
Shipped At Conditions Blue Ice
Appropriate Long term Storage Conditions Store at -20°C.
Clonality Polyclonal
Applications ICC/IF, IHC-P, WB
Species Reactivity Human
Isotype IgG