JavaScript is disabled in your browser. Please enable JavaScript to view this website.

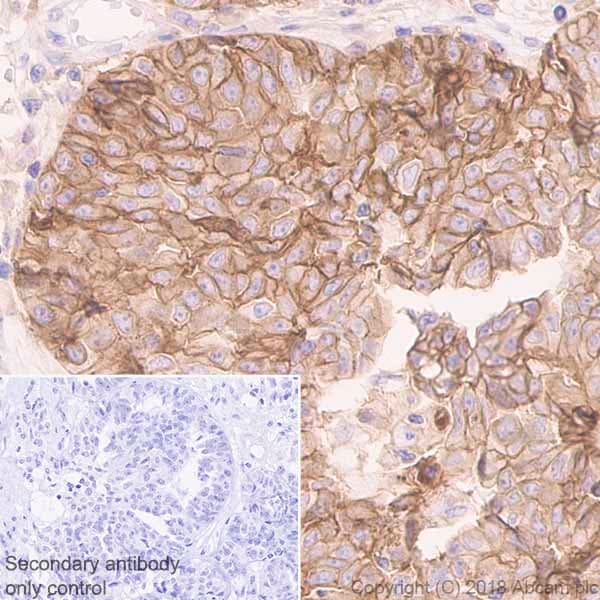
Anti-CD47 antibody [EPR21794] - BSA and Azide free(ab233122)

$undefined

Anti-CD47 antibody [EPR21794] - BSA and Azide free(ab233122)

Anti-CD47 antibody [EPR21794] - BSA and Azide free(ab233122)

Anti-CD47 antibody [EPR21794] - BSA and Azide free(ab233122)

Anti-CD47 antibody [EPR21794] - BSA and Azide free(ab233122)

Rabbit Recombinant Monoclonal CD47 antibody. Carrier free. Suitable for WB, IHC-P and reacts with Human samples.
Specifications
Shipped At Conditions Blue Ice
Appropriate Long term Storage Conditions Store at +4°C.
Clonality Monoclonal
Applications IHC-P, WB
Species Reactivity Human
Isotype IgG