JavaScript is disabled in your browser. Please enable JavaScript to view this website.

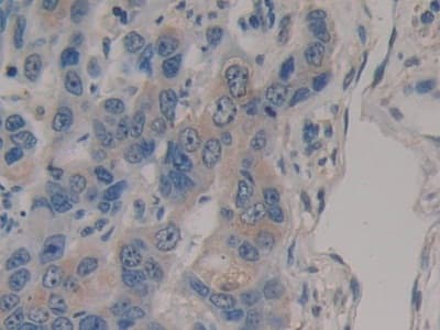
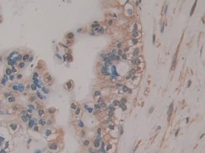
Anti-RSPO3 antibody(ab233113)

$undefined

Anti-RSPO3 antibody(ab233113)

Anti-RSPO3 antibody(ab233113)

Anti-RSPO3 antibody(ab233113)

Anti-RSPO3 antibody(ab233113)

Anti-RSPO3 antibody(ab233113)

Anti-RSPO3 antibody(ab233113)

Anti-RSPO3 antibody(ab233113)

Rabbit Polyclonal RSPO3 antibody. Suitable for WB, IHC-P and reacts with Pig, Human samples. Cited in 2 publications. Immunogen corresponding to Recombinant Full Length Protein corresponding to Human RSPO3.
Specifications
Shipped At Conditions Blue Ice
Appropriate Long term Storage Conditions Store at -20°C.
Clonality Polyclonal
Applications IHC-P, WB
Species Reactivity Human, Pig
Isotype IgG