JavaScript is disabled in your browser. Please enable JavaScript to view this website.

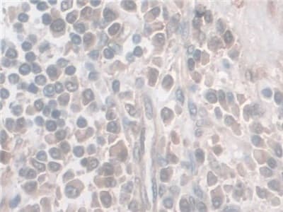
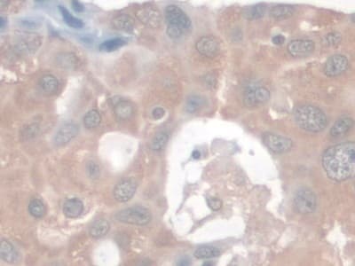
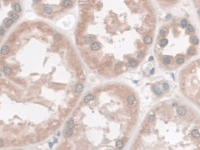
Anti-Nesprin 2 antibody(ab233034)

$undefined

Anti-Nesprin 2 antibody(ab233034)

Anti-Nesprin 2 antibody(ab233034)

Anti-Nesprin 2 antibody(ab233034)

Anti-Nesprin 2 antibody(ab233034)

Anti-Nesprin 2 antibody(ab233034)

Anti-Nesprin 2 antibody(ab233034)

Anti-Nesprin 2 antibody(ab233034)

Anti-Nesprin 2 antibody(ab233034)

Rabbit Polyclonal Nesprin 2 antibody. Suitable for WB, IHC-P and reacts with Human, Pig, Recombinant fragment - Human samples. Cited in 1 publication. Immunogen corresponding to Recombinant Fragment Protein within Human Nesprin-2 aa 1-300.
Specifications
Shipped At Conditions Blue Ice
Appropriate Long term Storage Conditions Store at -20°C.
Clonality Polyclonal
Applications IHC-P, WB
Species Reactivity Human, Pig
Isotype IgG