JavaScript is disabled in your browser. Please enable JavaScript to view this website.

Anti-PAX6 antibody [EPR15858] - BSA and Azide free(ab233027)

$undefined

Anti-PAX6 antibody [EPR15858] - BSA and Azide free(ab233027)

Anti-PAX6 antibody [EPR15858] - BSA and Azide free(ab233027)

Anti-PAX6 antibody [EPR15858] - BSA and Azide free(ab233027)

Anti-PAX6 antibody [EPR15858] - BSA and Azide free(ab233027)

Anti-PAX6 antibody [EPR15858] - BSA and Azide free(ab233027)

Anti-PAX6 antibody [EPR15858] - BSA and Azide free(ab233027)

Anti-PAX6 antibody [EPR15858] - BSA and Azide free(ab233027)

Anti-PAX6 antibody [EPR15858] - BSA and Azide free(ab233027)

Anti-PAX6 antibody [EPR15858] - BSA and Azide free(ab233027)

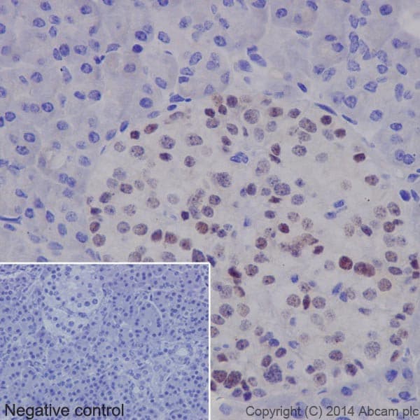
Rabbit Recombinant Monoclonal PAX6 antibody. Carrier free. Suitable for WB, ICC/IF, IHC-P and reacts with Mouse, Rat, Human samples.
Specifications
Shipped At Conditions Blue Ice
Appropriate Long term Storage Conditions Store at +4°C.
Clonality Monoclonal
Applications ICC/IF, IHC-P, WB
Species Reactivity Human, Mouse, Rat
Isotype IgG