JavaScript is disabled in your browser. Please enable JavaScript to view this website.

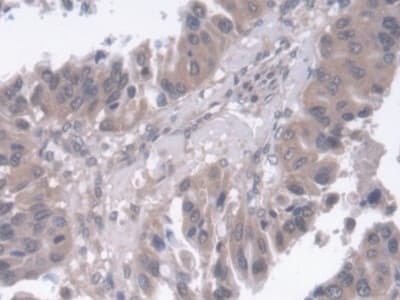
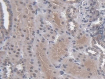
Anti-SMP30 antibody(ab233007)

$undefined

Anti-SMP30 antibody(ab233007)

Anti-SMP30 antibody(ab233007)

Anti-SMP30 antibody(ab233007)

Anti-SMP30 antibody(ab233007)

Anti-SMP30 antibody(ab233007)

Anti-SMP30 antibody(ab233007)

Anti-SMP30 antibody(ab233007)

Rabbit Polyclonal SMP30 antibody. Suitable for WB, IHC-P and reacts with Mouse, Human samples. Cited in 2 publications. Immunogen corresponding to Recombinant Fragment Protein within Human RGN aa 50 to C-terminus.
Specifications
Shipped At Conditions Blue Ice
Appropriate Long term Storage Conditions Store at -20°C.
Clonality Polyclonal
Applications IHC-P, WB
Species Reactivity Human, Mouse
Isotype IgG