JavaScript is disabled in your browser. Please enable JavaScript to view this website.

Anti-HPR antibody(ab233006)

$undefined

Anti-HPR antibody(ab233006)

Anti-HPR antibody(ab233006)

Anti-HPR antibody(ab233006)

Anti-HPR antibody(ab233006)

Anti-HPR antibody(ab233006)

Anti-HPR antibody(ab233006)

Anti-HPR antibody(ab233006)

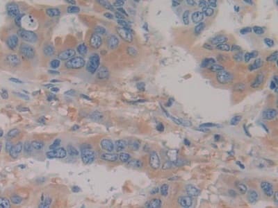
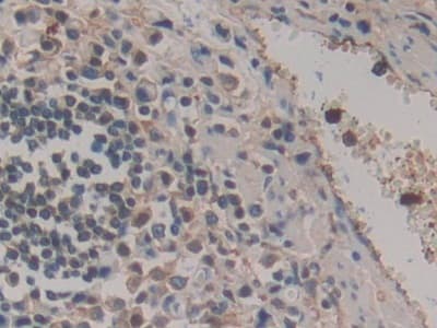
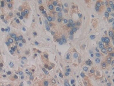
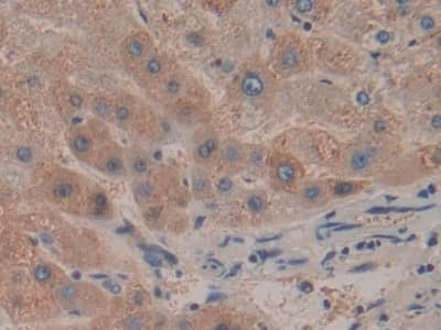
Rabbit Polyclonal HPR antibody. Suitable for WB, IHC-P and reacts with Human samples. Cited in 2 publications. Immunogen corresponding to Recombinant Fragment Protein within Human HPR aa 50 to C-terminus.
Specifications
Shipped At Conditions Blue Ice
Appropriate Long term Storage Conditions Store at -20°C.
Clonality Polyclonal
Applications IHC-P, WB
Species Reactivity Human
Isotype IgG