JavaScript is disabled in your browser. Please enable JavaScript to view this website.

Anti-PI3 Kinase p110 beta antibody(ab232997)

$undefined

Anti-PI3 Kinase p110 beta antibody(ab232997)

Anti-PI3 Kinase p110 beta antibody(ab232997)

Anti-PI3 Kinase p110 beta antibody(ab232997)

Anti-PI3 Kinase p110 beta antibody(ab232997)

Anti-PI3 Kinase p110 beta antibody(ab232997)

Anti-PI3 Kinase p110 beta antibody(ab232997)

Anti-PI3 Kinase p110 beta antibody(ab232997)

Anti-PI3 Kinase p110 beta antibody(ab232997)

Anti-PI3 Kinase p110 beta antibody(ab232997)

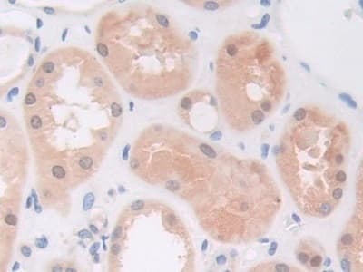
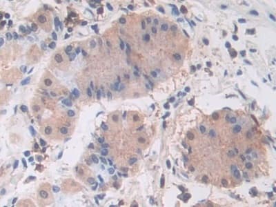
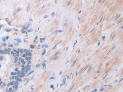
Rabbit Polyclonal PI3 Kinase p110 beta antibody. Suitable for WB, IHC-P, ICC/IF and reacts with Mouse, Pig, Human samples. Cited in 3 publications. Immunogen corresponding to Recombinant Fragment Protein within Human PIK3CB aa 800 to C-terminus.
Specifications
Shipped At Conditions Blue Ice
Appropriate Long term Storage Conditions Store at -20°C.
Clonality Polyclonal
Applications ICC/IF, IHC-P, WB
Species Reactivity Human, Mouse, Pig
Isotype IgG