JavaScript is disabled in your browser. Please enable JavaScript to view this website.

Anti-IREB2/IRP2 antibody(ab232994)

$undefined

Anti-IREB2/IRP2 antibody(ab232994)

Anti-IREB2/IRP2 antibody(ab232994)

Anti-IREB2/IRP2 antibody(ab232994)

Anti-IREB2/IRP2 antibody(ab232994)

Anti-IREB2/IRP2 antibody(ab232994)

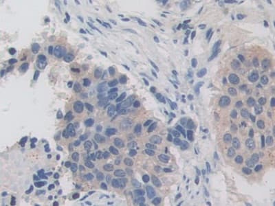
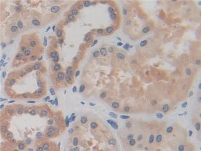
Rabbit Polyclonal IREB2/IRP2 antibody. Suitable for WB, IHC-P and reacts with Pig, Human samples. Cited in 3 publications. Immunogen corresponding to Recombinant Fragment Protein within Human Iron-responsive element-binding protein 2 aa 1-300.
Specifications
Shipped At Conditions Blue Ice
Appropriate Long term Storage Conditions Store at -20°C.
Clonality Polyclonal
Applications IHC-P, WB
Species Reactivity Human, Pig
Isotype IgG