JavaScript is disabled in your browser. Please enable JavaScript to view this website.

Anti-MAEA antibody(ab232987)

$undefined

Anti-MAEA antibody(ab232987)

Anti-MAEA antibody(ab232987)

Anti-MAEA antibody(ab232987)

Anti-MAEA antibody(ab232987)

Anti-MAEA antibody(ab232987)

Anti-MAEA antibody(ab232987)

Anti-MAEA antibody(ab232987)

Anti-MAEA antibody(ab232987)

Anti-MAEA antibody(ab232987)

Anti-MAEA antibody(ab232987)

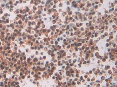
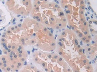
Rabbit Polyclonal MAEA antibody. Suitable for WB, IHC-P and reacts with Mouse, Human samples. Immunogen corresponding to Recombinant Fragment Protein within Human MAEA aa 100 to C-terminus.
Specifications
Shipped At Conditions Blue Ice
Appropriate Long term Storage Conditions Store at -20°C.
Clonality Polyclonal
Applications IHC-P, WB
Species Reactivity Human, Mouse
Isotype IgG