JavaScript is disabled in your browser. Please enable JavaScript to view this website.

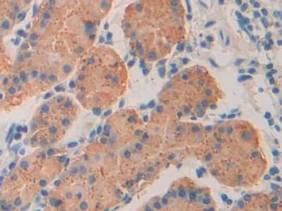
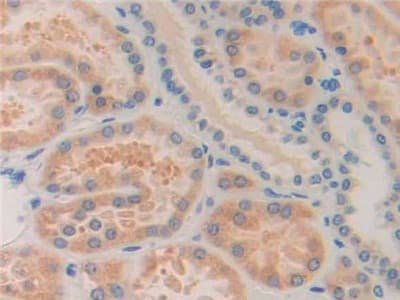
Anti-ISLR antibody(ab232986)

$undefined

Anti-ISLR antibody(ab232986)

Anti-ISLR antibody(ab232986)

Anti-ISLR antibody(ab232986)

Anti-ISLR antibody(ab232986)

Anti-ISLR antibody(ab232986)

Rabbit Polyclonal ISLR antibody. Suitable for WB, IHC-P and reacts with Human samples. Cited in 1 publication. Immunogen corresponding to Recombinant Full Length Protein corresponding to Human Immunoglobulin superfamily containing leucine-rich repeat protein.
Specifications
Shipped At Conditions Blue Ice
Appropriate Long term Storage Conditions Store at -20°C.
Clonality Polyclonal
Applications IHC-P, WB
Species Reactivity Human
Isotype IgG