JavaScript is disabled in your browser. Please enable JavaScript to view this website.

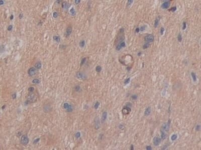
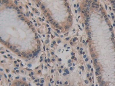
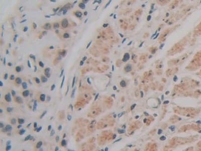
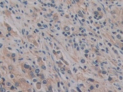
Anti-CD147 antibody(ab232967)

$undefined

Anti-CD147 antibody(ab232967)

Anti-CD147 antibody(ab232967)

Anti-CD147 antibody(ab232967)

Anti-CD147 antibody(ab232967)

Anti-CD147 antibody(ab232967)

Anti-CD147 antibody(ab232967)

Anti-CD147 antibody(ab232967)

Anti-CD147 antibody(ab232967)

Anti-CD147 antibody(ab232967)

Rabbit Polyclonal CD147 antibody. Suitable for WB, IHC-P, ICC/IF and reacts with Human samples. Cited in 1 publication. Immunogen corresponding to Recombinant Fragment Protein within Human BSG aa 50-300.
Specifications
Shipped At Conditions Blue Ice
Appropriate Long term Storage Conditions Store at -20°C.
Clonality Polyclonal
Applications ICC/IF, IHC-P, WB
Species Reactivity Human
Isotype IgG