Immunocytochemistry/ Immunofluorescence - Anti-PRAME antibody [EPR20330] - BSA and Azide free (ab232571)
This data was developed using the same antibody clone in a different buffer formulation containing PBS, BSA, glycerol, and sodium azide (ab219650).
PRAME immunofluorescence with PRAME antibody ab219650 in K562 cells, with negative expression in Ramos cells. The cells were fixed with 4% formaldehyde (10 min), permeabilised with 0.1% Triton x-100 for 5 minutes and then blocked with 1% BSA/10% normal goat serum/0.3M glycine in 0.1% PBS-Tween for 1h. The cells were then incubated overnight at +4°C with ab219650 at 1 μg/ml and ab7291, Mouse monoclonal [DM1A] to alpha Tubulin at 0.5 μg/ml. Cells were then incubated with ab150081, Goat polyclonal Secondary Antibody to Rabbit IgG - H&L (Alexa Fluor® 488), pre-adsorbed at 1/1000 dilution (shown in green) and ab150119, Goat polyclonal Secondary Antibody to Mouse IgG - H&L (Alexa Fluor® 647), pre-adsorbed at 1/1000 dilution (shown in red). Nuclear DNA was labelled with DAPI (shown in blue).
Image was acquired with a confocal microscope (Leica-Microsystems TCS SP8) and a single confocal section is shown.
This product also work with 100% methanol (5 min) fixation under the same testing conditions.
![Immunocytochemistry/ Immunofluorescence - Anti-PRAME antibody [EPR20330] - BSA and Azide free (ab232571)](./media_13aced75bf89429b276d6f1643e161091caad5cd2.avif?width=750&format=avif&optimize=medium)
Immunoprecipitation - Anti-PRAME antibody [EPR20330] - BSA and Azide free (ab232571)
PRAME was immunoprecipitated from 0.35 mg of MeWo (Human malignant melanoma cell line) whole cell lysate with ab219650 at 1/30 dilution. Western blot was performed from the immunoprecipitate using ab219650 at 1/1000 dilution. VeriBlot for IP Detection Reagent (HRP) (ab131366), was used for detection at 1/10000 dilution.
Lane 1: MeWo whole cell lysate 10 μg (Input).
Lane 2: ab219650 IP in MeWo whole cell lysate.
Lane 3: Rabbit monoclonal IgG (ab172730) instead of ab219650 in MeWo whole cell lysate.
Blocking and dilution buffer and concentration: 5% NFDM/TBST.
Exposure time: 1 second.
This data was developed using the same antibody clone in a different buffer formulation containing PBS, BSA, glycerol, and sodium azide (ab219650).
All lanes:
Immunoprecipitation - Anti-PRAME antibody [EPR20330] - BSA and Azide free (ab232571)
Predicted band size: 57 kDa
![Immunoprecipitation - Anti-PRAME antibody [EPR20330] - BSA and Azide free (ab232571) Lane 1: MeWo whole cell lysate 10 μg (Input). Lane 2: ab219650 IP in MeWo whole cell lysate. Lane 3: Rabbit monoclonal IgG (ab172730) instead of ab219650 in MeWo whole cell lysate.](./media_10bb6e505a78f12357da6c8a5b5165ab5ad682069.avif?width=750&format=avif&optimize=medium)
Western blot - Anti-PRAME antibody [EPR20330] - BSA and Azide free (ab232571)
This data was developed using ab219650, the same antibody clone in a different buffer formulation.
PRAME western blot with PRAME antibody ab219650.
Different batches of ab219650 were tested on MeWo (Human malignant melanoma fibroblast) whole cell lysate at 0.1 µg/ml. 15 µg of lysate was loaded in each lane. Bands observed at 50 kDa.
All lanes:
Western blot - Anti-PRAME antibody [EPR20330] (ab219650)
Predicted band size: 57 kDa
![Western blot - Anti-PRAME antibody [EPR20330] (ab219650)](./media_1e98b4e87e20fa86394c3644e4765e4730e90b18a.avif?width=750&format=avif&optimize=medium)
Immunocytochemistry/ Immunofluorescence - Anti-PRAME antibody [EPR20330] - BSA and Azide free (ab232571)
Immunofluorescent analysis of 4% paraformaldehyde-fixed, 0.1% Triton X-100 permeabilized MeWo (Human malignant melanoma cell line) cells labeling PRAME with ab219650 at 1/500 dilution, followed by Goat anti-rabbit IgG (Alexa Fluor® 488) (ab150077) secondary antibody at 1/1000 dilution (green). Confocal image showing mostly nuclear staining on MeWo cells.
The nuclear counter stain is DAPI (blue). Tubulin is detected with ab195889 (Anti-alpha Tubulin antibody [DM1A] - Microtubule Marker (Alexa Fluor® 594)) at 1/200 dilution (red).
Secondary antibody only control: Used PBS instead of primary antibody, secondary antibody is Goat anti-rabbit IgG (Alexa Fluor® 488) (ab150077) at 1/1000 dilution.
This data was developed using the same antibody clone in a different buffer formulation containing PBS, BSA, glycerol, and sodium azide (ab219650).

Immunocytochemistry/ Immunofluorescence - Anti-PRAME antibody [EPR20330] - BSA and Azide free (ab232571)
Immunofluorescent analysis of 4% paraformaldehyde-fixed, 0.1% Triton X-100 permeabilized A-375 (Human malignant melanoma cell line) cells labeling PRAME with ab219650 at 1/500 dilution, followed by Goat anti-rabbit IgG (Alexa Fluor® 488) (ab150077) secondary antibody at 1/1000 dilution (green). Confocal image showing mostly nuclear staining on A-375 cells.
The nuclear counter stain is DAPI (blue). Tubulin is detected with ab195889 (Anti-alpha Tubulin antibody [DM1A] - Microtubule Marker (Alexa Fluor® 594)) at 1/200 dilution (red).
Secondary antibody only control: Used PBS instead of primary antibody, secondary antibody is Goat anti-rabbit IgG (Alexa Fluor® 488) (ab150077) at 1/1000 dilution.
This data was developed using the same antibody clone in a different buffer formulation containing PBS, BSA, glycerol, and sodium azide (ab219650).

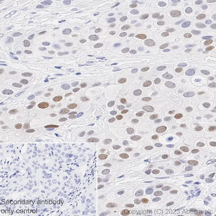
Immunohistochemistry (Formalin/PFA-fixed paraffin-embedded sections) - Anti-PRAME antibody [EPR20330] - BSA and Azide free (ab232571)
This data was developed using the same antibody clone in a different buffer formulation containing PBS, BSA, glycerol, and sodium azide (ab219650).
Immunohistochemical analysis of paraffin-embedded human breast carcinoma tissue labeling PRAME with ab219650 at 1/500 dilution, followed by LeicaDS9800 (Bond™ Polymer Refine Detection). Sections were counter stained with Hematoxylin. Antigen retrieval was heat mediated with Tris/EDTA buffer pH 9.0 before commencing with IHC staining protocol.
Nuclear staining on human breast carcinoma. The section was incubated with ab219650 for 30 mins at room temperature.
The immunostaining was performed on a Leica Biosystems BOND® RX instrument.
Secondary antibody only control: Used PBS instead of primary antibody.
