JavaScript is disabled in your browser. Please enable JavaScript to view this website.

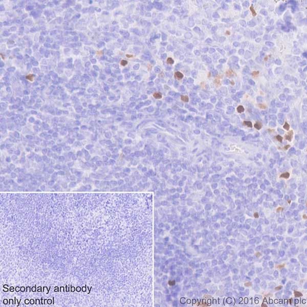
Anti-ROR gamma antibody [EPR20006] - BSA and Azide free(AB232516)

$undefined

Anti-ROR gamma antibody [EPR20006] - BSA and Azide free(AB232516)

Anti-ROR gamma antibody [EPR20006] - BSA and Azide free(AB232516)

Anti-ROR gamma antibody [EPR20006] - BSA and Azide free(AB232516)

Anti-ROR gamma antibody [EPR20006] - BSA and Azide free(AB232516)

Anti-ROR gamma antibody [EPR20006] - BSA and Azide free(AB232516)

Anti-ROR gamma antibody [EPR20006] - BSA and Azide free(AB232516)

Anti-ROR gamma antibody [EPR20006] - BSA and Azide free(AB232516)

Rabbit Recombinant Monoclonal ROR gamma antibody. Carrier free. Suitable for IP, WB, IHC-P, Flow Cyt (Intra) and reacts with Mouse samples. Cited in 1 publication.
Specifications
Shipped At Conditions Blue Ice
Appropriate Long term Storage Conditions Store at +4°C.
Clonality Monoclonal
Applications Flow Cyt (Intra), IHC-P, IP, WB
Species Reactivity Mouse
Isotype IgG