JavaScript is disabled in your browser. Please enable JavaScript to view this website.

Anti-Histone H4 antibody [EPR16599] - BSA and Azide free(AB232371)

$undefined

Anti-Histone H4 antibody [EPR16599] - BSA and Azide free(AB232371)

Anti-Histone H4 antibody [EPR16599] - BSA and Azide free(AB232371)

Anti-Histone H4 antibody [EPR16599] - BSA and Azide free(AB232371)

Anti-Histone H4 antibody [EPR16599] - BSA and Azide free(AB232371)

Anti-Histone H4 antibody [EPR16599] - BSA and Azide free(AB232371)

Anti-Histone H4 antibody [EPR16599] - BSA and Azide free(AB232371)

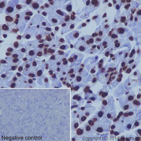
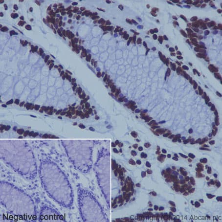
Rabbit Recombinant Monoclonal Histone H4 antibody. Carrier free. Suitable for ChIP, WB, PepArr, ICC/IF, IHC-P and reacts with Human, Recombinant fragment, Mouse, Rat, Drosophila melanogaster samples.
Specifications
Shipped At Conditions Blue Ice
Appropriate Long term Storage Conditions Store at +4°C.
Clonality Monoclonal
Applications ChIP, ICC/IF, IHC-P, PepArr, WB
Species Reactivity Drosophila melanogaster, Human, Mouse, Rat
Isotype IgG