JavaScript is disabled in your browser. Please enable JavaScript to view this website.

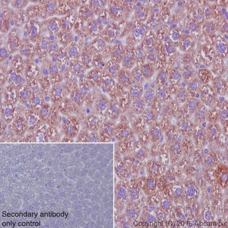
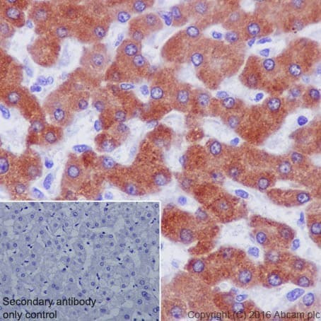
Anti-Mannan Binding Lectin/MBL antibody [EPR18381-156] - BSA and Azide free(AB232251)

$undefined

Anti-Mannan Binding Lectin/MBL antibody [EPR18381-156] - BSA and Azide free(AB232251)

Anti-Mannan Binding Lectin/MBL antibody [EPR18381-156] - BSA and Azide free(AB232251)

Anti-Mannan Binding Lectin/MBL antibody [EPR18381-156] - BSA and Azide free(AB232251)

Rabbit Recombinant Monoclonal Mannan Binding Lectin/MBL antibody. Carrier free. Suitable for WB, IHC-P and reacts with Mouse, Human samples.
Specifications
Shipped At Conditions Blue Ice
Appropriate Long term Storage Conditions Store at +4°C.
Clonality Monoclonal
Applications IHC-P, WB
Species Reactivity Human, Mouse
Isotype IgG