JavaScript is disabled in your browser. Please enable JavaScript to view this website.

Anti-DPP4 antibody [EPR18215] - BSA and Azide free(AB232221)

$undefined

Anti-DPP4 antibody [EPR18215] - BSA and Azide free(AB232221)

Anti-DPP4 antibody [EPR18215] - BSA and Azide free(AB232221)

Anti-DPP4 antibody [EPR18215] - BSA and Azide free(AB232221)

Anti-DPP4 antibody [EPR18215] - BSA and Azide free(AB232221)

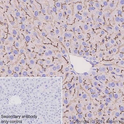
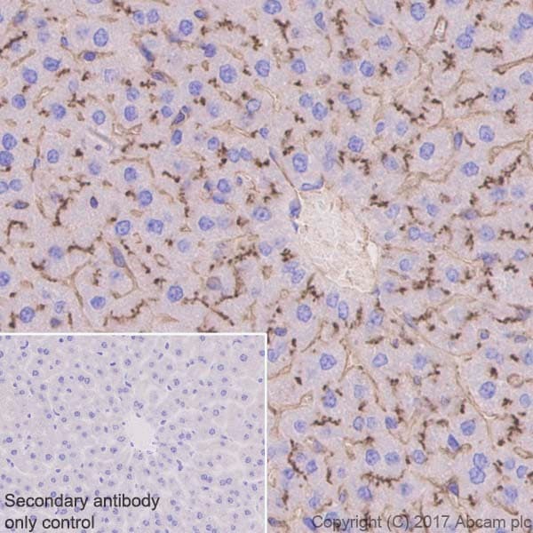
Rabbit Recombinant Monoclonal DPP4 antibody. Carrier free. Suitable for WB, IHC-Fr, IHC-P and reacts with Mouse, Rat samples.
Specifications
Shipped At Conditions Blue Ice
Appropriate Long term Storage Conditions Store at +4°C.
Clonality Monoclonal
Applications IHC-Fr, IHC-P, WB
Species Reactivity Mouse, Rat
Isotype IgG