JavaScript is disabled in your browser. Please enable JavaScript to view this website.

Anti-Erk1 (pT202/pY204) + Erk2 (pT185/pY187) antibody [E337] - BSA and Azide free(AB232017)

$undefined

Erk1 Pt202 Py204 Erk2 Pt185 Py187 Antibody E337 Bsa And Azide Free Ab232017  Flow Cytometry Intracellular Img89957

Erk1 Pt202 Py204 Erk2 Pt185 Py187 Antibody E337 Bsa And Azide Free Ab232017  Immunocytochemistry Immunofluorescence Img29930

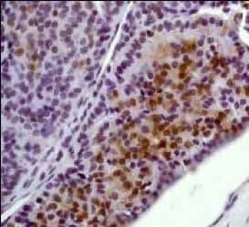
Erk1 Pt202 Py204 Erk2 Pt185 Py187 Antibody E337 Bsa And Azide Free Ab232017  Immunohistochemistry Formalin Pfa Fixed Paraffin Embedded Sections Img135994

Rabbit Recombinant Monoclonal ERK1 phospho Y204 + T202 antibody. Carrier free. Suitable for IHC-P, WB, ICC/IF, Flow Cyt (Intra) and reacts with Human samples.
Specifications
Shipped At Conditions Blue Ice
Appropriate Long term Storage Conditions Store at +4°C.
Clonality Monoclonal
Applications Flow Cyt (Intra), ICC/IF, IHC-P, WB
Species Reactivity Human
Isotype IgG