JavaScript is disabled in your browser. Please enable JavaScript to view this website.

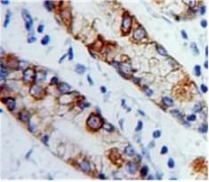
Anti-Collagen XVII antibody(AB231939)

$undefined

Anti-Collagen XVII antibody(AB231939)

Anti-Collagen XVII antibody(AB231939)

Anti-Collagen XVII antibody(AB231939)

Rabbit Polyclonal Collagen XVII antibody. Suitable for WB, IHC-P and reacts with Rat, Human samples. Immunogen corresponding to Recombinant Fragment Protein within Human Collagen alpha-1(XVII) chain aa 150-400.
Specifications
Shipped At Conditions Blue Ice
Appropriate Long term Storage Conditions Store at -20°C.
Clonality Polyclonal
Applications IHC-P, WB
Species Reactivity Human, Rat
Isotype IgG