JavaScript is disabled in your browser. Please enable JavaScript to view this website.

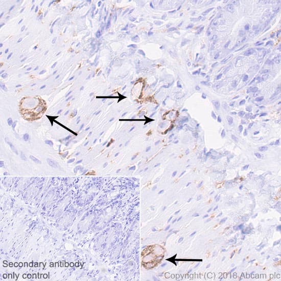
Anti-NCAM1 antibody [EPR21827] - BSA and Azide free(ab231826)

$undefined

Anti-NCAM1 antibody [EPR21827] - BSA and Azide free(ab231826)

Anti-NCAM1 antibody [EPR21827] - BSA and Azide free(ab231826)

Anti-NCAM1 antibody [EPR21827] - BSA and Azide free(ab231826)

Anti-NCAM1 antibody [EPR21827] - BSA and Azide free(ab231826)

Anti-NCAM1 antibody [EPR21827] - BSA and Azide free(ab231826)

Anti-NCAM1 antibody [EPR21827] - BSA and Azide free(ab231826)

Anti-NCAM1 antibody [EPR21827] - BSA and Azide free(ab231826)

Rabbit Recombinant Monoclonal NCAM1 antibody. Carrier free. Suitable for IP, Flow Cyt, WB, ICC/IF, IHC-P and reacts with Rat, Mouse samples.
Specifications
Shipped At Conditions Blue Ice
Appropriate Long term Storage Conditions Store at +4°C.
Clonality Monoclonal
Applications Flow Cyt, ICC/IF, IHC-P, IP, WB
Species Reactivity Mouse, Rat
Isotype IgG