JavaScript is disabled in your browser. Please enable JavaScript to view this website.

Anti-AMPK alpha 2 antibody(ab231807)

$undefined

Anti-AMPK alpha 2 antibody(ab231807)

Anti-AMPK alpha 2 antibody(ab231807)

Anti-AMPK alpha 2 antibody(ab231807)

Anti-AMPK alpha 2 antibody(ab231807)

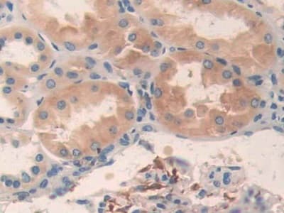
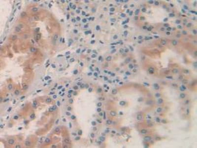
Rabbit Polyclonal AMPK alpha 2 antibody. Suitable for WB, IHC-P and reacts with Pig, Human samples. Immunogen corresponding to Recombinant Fragment Protein within Human PRKAA2 aa 250-500.
Specifications
Shipped At Conditions Blue Ice
Appropriate Long term Storage Conditions Store at -20°C.
Clonality Polyclonal
Applications IHC-P, WB
Species Reactivity Human, Pig
Isotype IgG