JavaScript is disabled in your browser. Please enable JavaScript to view this website.

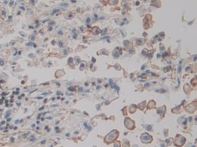
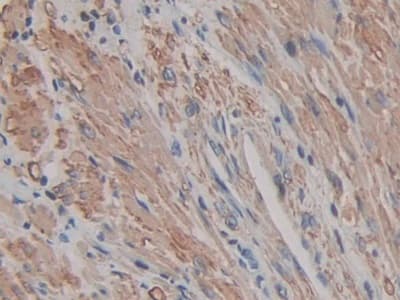
Anti-ACTG2 antibody(ab231802)

$undefined

Anti-ACTG2 antibody(ab231802)

Anti-ACTG2 antibody(ab231802)

Anti-ACTG2 antibody(ab231802)

Anti-ACTG2 antibody(ab231802)

Anti-ACTG2 antibody(ab231802)

Anti-ACTG2 antibody(ab231802)

Anti-ACTG2 antibody(ab231802)

Anti-ACTG2 antibody(ab231802)

Rabbit Polyclonal ACTH antibody. Suitable for WB, IHC-P and reacts with Human, Recombinant full length protein - Human, Rat, Pig samples. Cited in 3 publications. Immunogen corresponding to Recombinant Full Length Protein corresponding to Human ACTG2.
Specifications
Shipped At Conditions Blue Ice
Appropriate Long term Storage Conditions Store at -20°C.
Clonality Polyclonal
Applications IHC-P, WB
Species Reactivity Human, Pig, Rat
Isotype IgG