JavaScript is disabled in your browser. Please enable JavaScript to view this website.

Anti-TRPV4 antibody [EPR22622-54](ab231772)

$undefined

Anti-TRPV4 antibody [EPR22622-54](ab231772)

Anti-TRPV4 antibody [EPR22622-54](ab231772)

Anti-TRPV4 antibody [EPR22622-54](ab231772)

Anti-TRPV4 antibody [EPR22622-54](ab231772)

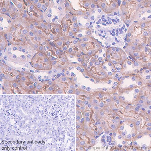
Rabbit Recombinant Monoclonal TRPV4 antibody. Suitable for IHC-P and reacts with Mouse, Rat samples.
Specifications
Shipped At Conditions Blue Ice
Appropriate Long term Storage Conditions Store at -20°C.
Clonality Monoclonal
Applications Flow Cyt, ICC/IF, IHC-Fr, IHC-P, IP, WB
Species Reactivity Mouse, Rat
Isotype IgG