JavaScript is disabled in your browser. Please enable JavaScript to view this website.

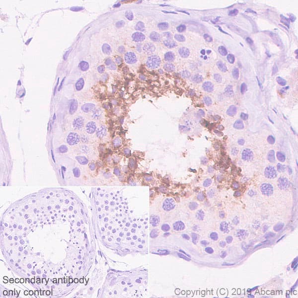
Anti-SPAM1 antibody [EPR22906-57](ab231771)

$undefined

Anti-SPAM1 antibody [EPR22906-57](ab231771)

Anti-SPAM1 antibody [EPR22906-57](ab231771)

Rabbit Recombinant Monoclonal SPAM1 antibody. Suitable for WB, IHC-P and reacts with Human samples.
Specifications
Shipped At Conditions Blue Ice
Appropriate Long term Storage Conditions Store at -20°C.
Clonality Monoclonal
Applications IHC-P, IP, WB
Species Reactivity Human
Isotype IgG