JavaScript is disabled in your browser. Please enable JavaScript to view this website.

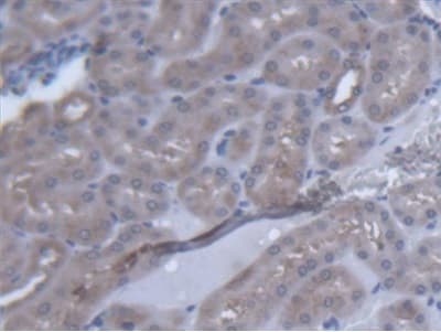
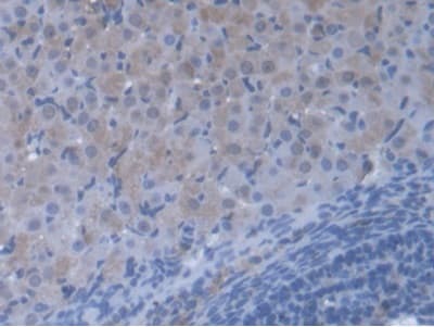
Anti-valyl tRNA synthetase antibody(ab231711)

$undefined

Anti-valyl tRNA synthetase antibody(ab231711)

Anti-valyl tRNA synthetase antibody(ab231711)

Anti-valyl tRNA synthetase antibody(ab231711)

Anti-valyl tRNA synthetase antibody(ab231711)

Anti-valyl tRNA synthetase antibody(ab231711)

Rabbit Polyclonal valyl tRNA synthetase antibody. Suitable for WB, IHC-P and reacts with Mouse samples. Immunogen corresponding to Recombinant Fragment Protein within Mouse Vars1 aa 150-450.
Specifications
Shipped At Conditions Blue Ice
Appropriate Long term Storage Conditions Store at -20°C.
Clonality Polyclonal
Applications IHC-P, WB
Species Reactivity Mouse
Isotype IgG