JavaScript is disabled in your browser. Please enable JavaScript to view this website.

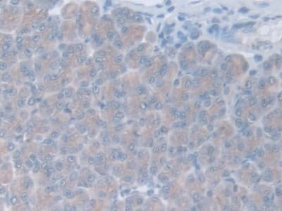
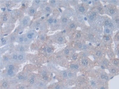
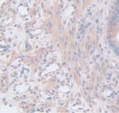
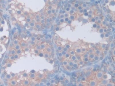
Anti-GAMT antibody(ab231656)

$undefined

Anti-GAMT antibody(ab231656)

Anti-GAMT antibody(ab231656)

Anti-GAMT antibody(ab231656)

Anti-GAMT antibody(ab231656)

Anti-GAMT antibody(ab231656)

Anti-GAMT antibody(ab231656)

Anti-GAMT antibody(ab231656)

Anti-GAMT antibody(ab231656)

Anti-GAMT antibody(ab231656)

Anti-GAMT antibody(ab231656)

Rabbit Polyclonal GAMT antibody. Suitable for WB, IHC-P and reacts with Mouse samples. Immunogen corresponding to Recombinant Full Length Protein corresponding to Mouse Guanidinoacetate N-methyltransferase.
Specifications
Shipped At Conditions Blue Ice
Appropriate Long term Storage Conditions Store at -20°C.
Clonality Polyclonal
Applications IHC-P, WB
Species Reactivity Mouse
Isotype IgG