JavaScript is disabled in your browser. Please enable JavaScript to view this website.

Anti-CD11d antibody(ab231622)

$undefined

Anti-CD11d antibody(ab231622)

Anti-CD11d antibody(ab231622)

Anti-CD11d antibody(ab231622)

Anti-CD11d antibody(ab231622)

Anti-CD11d antibody(ab231622)

Anti-CD11d antibody(ab231622)

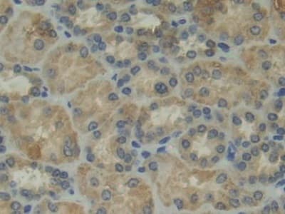
Rabbit Polyclonal CD11d antibody. Suitable for WB, IHC-P and reacts with Human samples. Immunogen corresponding to Recombinant Fragment Protein within Human ITGAD aa 850-1100.
Specifications
Shipped At Conditions Blue Ice
Appropriate Long term Storage Conditions Store at -20°C.
Clonality Polyclonal
Applications IHC-P, WB
Species Reactivity Human
Isotype IgG