JavaScript is disabled in your browser. Please enable JavaScript to view this website.

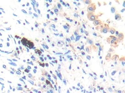
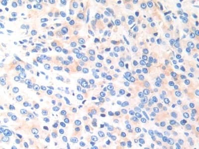
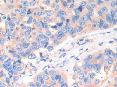
Anti-Cathepsin K antibody(ab231590)

$undefined

Anti-Cathepsin K antibody(ab231590)

Anti-Cathepsin K antibody(ab231590)

Anti-Cathepsin K antibody(ab231590)

Anti-Cathepsin K antibody(ab231590)

Anti-Cathepsin K antibody(ab231590)

Anti-Cathepsin K antibody(ab231590)

Rabbit Polyclonal Cathepsin K antibody. Suitable for WB, IHC-P and reacts with Pig, Human samples. Immunogen corresponding to Recombinant Fragment Protein within Human Cathepsin K aa 50 to C-terminus.
Specifications
Shipped At Conditions Blue Ice
Appropriate Long term Storage Conditions Store at -20°C.
Clonality Polyclonal
Applications IHC-P, WB
Species Reactivity Human, Pig
Isotype IgG