JavaScript is disabled in your browser. Please enable JavaScript to view this website.

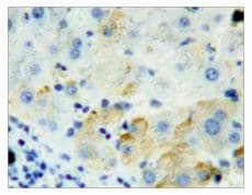
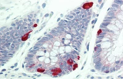
Anti-Furin antibody(ab231573)

$undefined

Anti-Furin antibody(ab231573)

Anti-Furin antibody(ab231573)

Anti-Furin antibody(ab231573)

Anti-Furin antibody(ab231573)

Anti-Furin antibody(ab231573)

Anti-Furin antibody(ab231573)

Rabbit Polyclonal FURIN antibody. Suitable for WB, IHC-P and reacts with Pig, Human samples. Immunogen corresponding to Recombinant Fragment Protein within Human FURIN aa 550-750.
Specifications
Shipped At Conditions Blue Ice
Appropriate Long term Storage Conditions Store at -20°C.
Clonality Polyclonal
Applications IHC-P, WB
Species Reactivity Human, Pig
Isotype IgG