JavaScript is disabled in your browser. Please enable JavaScript to view this website.

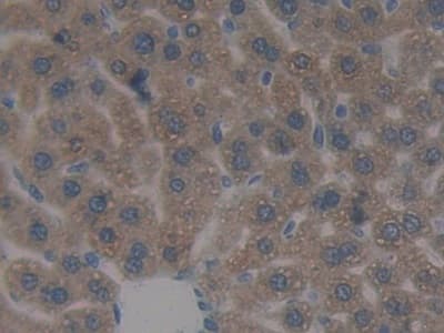
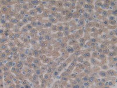
Anti-SULT1A1/STP antibody(ab231555)

$undefined

Anti-SULT1A1/STP antibody(ab231555)

Anti-SULT1A1/STP antibody(ab231555)

Anti-SULT1A1/STP antibody(ab231555)

Anti-SULT1A1/STP antibody(ab231555)

Rabbit Polyclonal SULT1A1/STP antibody. Suitable for WB, IHC-P and reacts with Mouse, Recombinant full length protein - Mouse, Rat samples. Immunogen corresponding to Recombinant Fragment Protein within Mouse Sulfotransferase 1A1 aa 1 to C-terminus.
Specifications
Shipped At Conditions Blue Ice
Appropriate Long term Storage Conditions Store at -20°C.
Clonality Polyclonal
Applications IHC-P, WB
Species Reactivity Mouse, Rat
Isotype IgG