JavaScript is disabled in your browser. Please enable JavaScript to view this website.

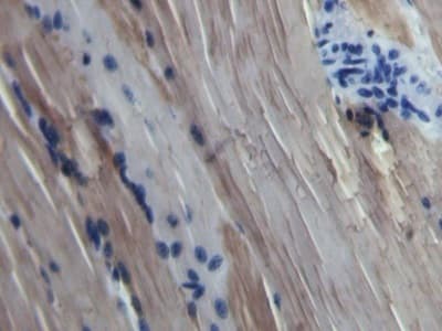
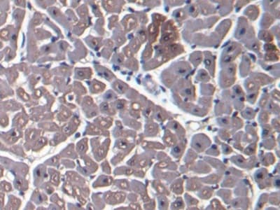
Anti-Myoglobin antibody(ab231530)

$undefined

Anti-Myoglobin antibody(ab231530)

Anti-Myoglobin antibody(ab231530)

Anti-Myoglobin antibody(ab231530)

Anti-Myoglobin antibody(ab231530)

Rabbit Polyclonal Myoglobin antibody. Suitable for WB, IHC-P and reacts with Cow samples. Cited in 1 publication. Immunogen corresponding to Recombinant Full Length Protein corresponding to Cow Myoglobin.
Specifications
Shipped At Conditions Blue Ice
Appropriate Long term Storage Conditions Store at -20°C.
Clonality Polyclonal
Applications IHC-P, WB
Species Reactivity Cow
Isotype IgG