JavaScript is disabled in your browser. Please enable JavaScript to view this website.

Anti-LINE-1 ORF1p antibody [EPR22227-54](AB230966)

$undefined

Anti-LINE-1 ORF1p antibody [EPR22227-54](AB230966)

Anti-LINE-1 ORF1p antibody [EPR22227-54](AB230966)

Anti-LINE-1 ORF1p antibody [EPR22227-54](AB230966)

Anti-LINE-1 ORF1p antibody [EPR22227-54](AB230966)

Anti-LINE-1 ORF1p antibody [EPR22227-54](AB230966)

Anti-LINE-1 ORF1p antibody [EPR22227-54](AB230966)

Anti-LINE-1 ORF1p antibody [EPR22227-54](AB230966)

Anti-LINE-1 ORF1p antibody [EPR22227-54](AB230966)

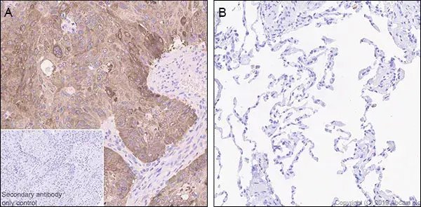
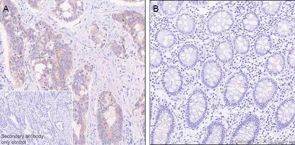
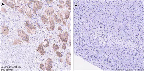
Rabbit Recombinant Monoclonal LINE-1 ORF1p antibody. Suitable for IP, WB, ICC/IF, Flow Cyt (Intra), IHC-P and reacts with Human samples.
Specifications
Shipped At Conditions Blue Ice
Appropriate Long term Storage Conditions Store at -20°C.
Clonality Monoclonal
Applications Flow Cyt (Intra), ICC/IF, IHC-P, IP, WB
Species Reactivity Human
Isotype IgG