JavaScript is disabled in your browser. Please enable JavaScript to view this website.

Anti-IKK gamma/NEMO antibody [EPR16629] - BSA and Azide free(AB230832)

$undefined

Anti-IKK gamma/NEMO antibody [EPR16629] - BSA and Azide free(AB230832)

Anti-IKK gamma/NEMO antibody [EPR16629] - BSA and Azide free(AB230832)

Anti-IKK gamma/NEMO antibody [EPR16629] - BSA and Azide free(AB230832)

Anti-IKK gamma/NEMO antibody [EPR16629] - BSA and Azide free(AB230832)

Anti-IKK gamma/NEMO antibody [EPR16629] - BSA and Azide free(AB230832)

Anti-IKK gamma/NEMO antibody [EPR16629] - BSA and Azide free(AB230832)

Anti-IKK gamma/NEMO antibody [EPR16629] - BSA and Azide free(AB230832)

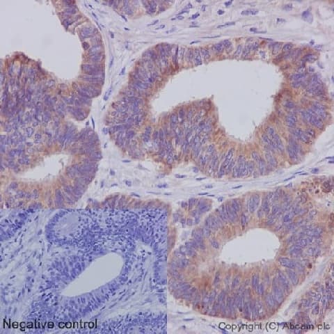
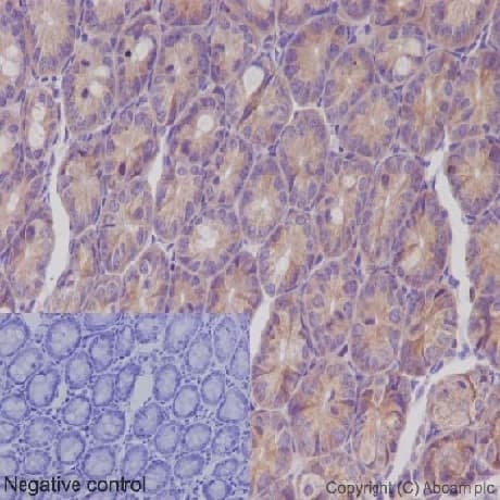
Rabbit Recombinant Monoclonal IKK gamma/NEMO antibody. Carrier free. Suitable for IP, WB, ICC/IF, IHC-P and reacts with Human, Rat, Mouse samples.
Specifications
Shipped At Conditions Blue Ice
Appropriate Long term Storage Conditions Store at +4°C.
Clonality Monoclonal
Applications ICC/IF, IHC-P, IP, WB
Species Reactivity Human, Mouse, Rat
Isotype IgG