JavaScript is disabled in your browser. Please enable JavaScript to view this website.

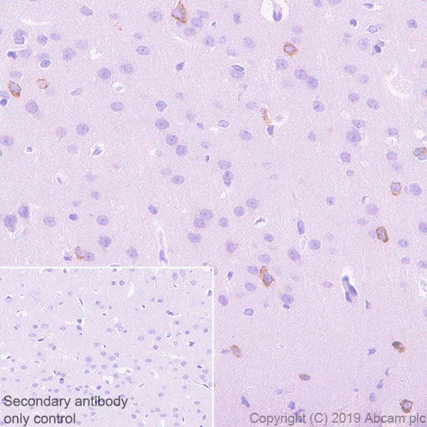
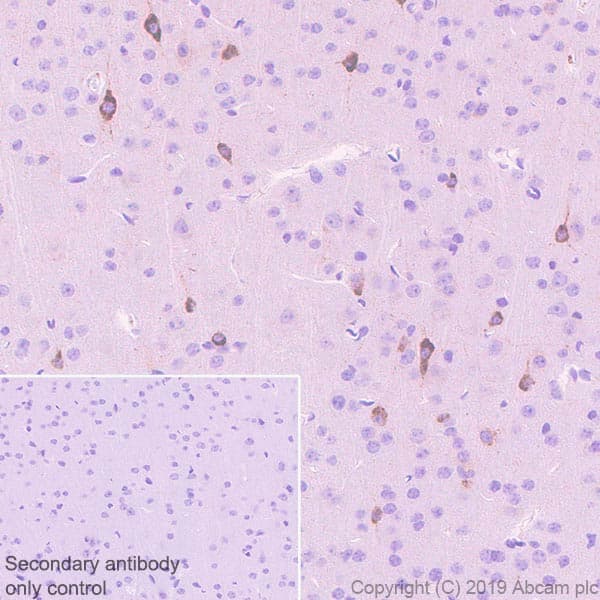
Anti-Reelin antibody [EPR22515-75](AB230820)

$undefined

Anti-Reelin antibody [EPR22515-75](AB230820)

Anti-Reelin antibody [EPR22515-75](AB230820)

Anti-Reelin antibody [EPR22515-75](AB230820)

Anti-Reelin antibody [EPR22515-75](AB230820)

Anti-Reelin antibody [EPR22515-75](AB230820)

Rabbit Recombinant Monoclonal Reelin antibody. Suitable for IHC-P and reacts with Mouse, Rat, Human samples.
Specifications
Shipped At Conditions Blue Ice
Appropriate Long term Storage Conditions Store at -20°C.
Clonality Monoclonal
Applications ICC/IF, IHC-P, IP, WB
Species Reactivity Human, Mouse, Rat
Isotype IgG