JavaScript is disabled in your browser. Please enable JavaScript to view this website.

Anti-Mre11 antibody [EPR21027] - BSA and Azide free(AB230381)

$undefined

Mre11 Antibody Epr21027 Bsa And Azide Free Ab230381  Chip Img15757

Mre11 Antibody Epr21027 Bsa And Azide Free Ab230381  Flow Cytometry Intracellular Img32911

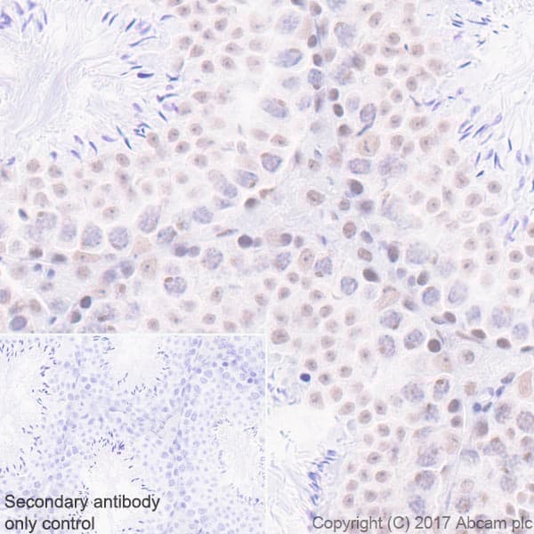
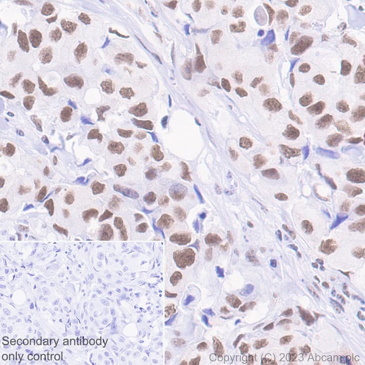
Mre11 Antibody Epr21027 Bsa And Azide Free Ab230381  Immunohistochemistry Formalin Pfa Fixed Paraffin Embedded Sections Img109631

Mre11 Antibody Epr21027 Bsa And Azide Free Ab230381  Immunohistochemistry Formalin Pfa Fixed Paraffin Embedded Sections Img423587

Mre11 Antibody Epr21027 Bsa And Azide Free Ab230381  Immunohistochemistry Formalin Pfa Fixed Paraffin Embedded Sections Img64888

Mre11 Antibody Epr21027 Bsa And Azide Free Ab230381  Immunohistochemistry Formalin Pfa Fixed Paraffin Embedded Sections Img68614

Mre11 Antibody Epr21027 Bsa And Azide Free Ab230381  Immunohistochemistry Formalin Pfa Fixed Paraffin Embedded Sections Img80806

Rabbit Recombinant Monoclonal MRE11 antibody. Carrier free. Suitable for IHC-P, ChIP, WB, Flow Cyt (Intra) and reacts with Mouse, Human, Rat samples.
Specifications
Shipped At Conditions Blue Ice
Appropriate Long term Storage Conditions Store at +4°C.
Clonality Monoclonal
Applications ChIP, Flow Cyt (Intra), IHC-P, WB
Species Reactivity Human, Mouse, Rat
Isotype IgG