JavaScript is disabled in your browser. Please enable JavaScript to view this website.

Anti-Poliovirus Receptor/PVR antibody(AB230338)

$undefined

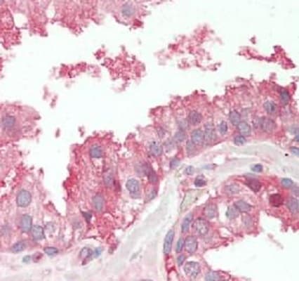
Poliovirus Receptor Pvr Antibody Ab230338  Immunohistochemistry Formalin Pfa Fixed Paraffin Embedded Sections Img134661

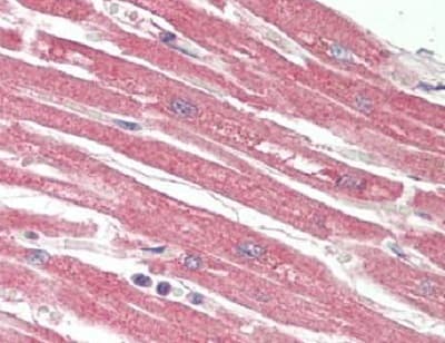
Poliovirus Receptor Pvr Antibody Ab230338  Immunohistochemistry Formalin Pfa Fixed Paraffin Embedded Sections Img77684

Poliovirus Receptor Pvr Antibody Ab230338  Western Blot Img2992

Rabbit Polyclonal Poliovirus Receptor/PVR antibody. Suitable for IHC-P, WB and reacts with Human, Mouse samples. Immunogen corresponding to Recombinant Fragment Protein within Human PVR aa 200-350.
Specifications
Shipped At Conditions Blue Ice
Appropriate Long term Storage Conditions Store at -20°C.
Clonality Polyclonal
Applications IHC-P, WB
Species Reactivity Human, Mouse
Isotype IgG