JavaScript is disabled in your browser. Please enable JavaScript to view this website.

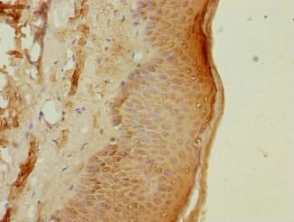
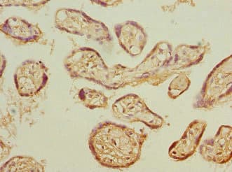
Anti-Proteasome 20S beta 3 antibody(AB230024)

$undefined

Anti-Proteasome 20S beta 3 antibody(AB230024)

Anti-Proteasome 20S beta 3 antibody(AB230024)

Anti-Proteasome 20S beta 3 antibody(AB230024)

Rabbit Polyclonal Proteasome 20S beta 3 antibody. Suitable for WB, IHC-P and reacts with Human, Mouse samples. Cited in 1 publication. Immunogen corresponding to Recombinant Full Length Protein corresponding to Human PSMB3.
Specifications
Shipped At Conditions Blue Ice
Appropriate Long term Storage Conditions Store at -20°C.
Clonality Polyclonal
Applications IHC-P, WB
Species Reactivity Human, Mouse
Isotype IgG