JavaScript is disabled in your browser. Please enable JavaScript to view this website.

Anti-HtrA2 / Omi antibody - C-terminal(ab229878)

$undefined

Anti-HtrA2 / Omi antibody - C-terminal(ab229878)

Anti-HtrA2 / Omi antibody - C-terminal(ab229878)

Anti-HtrA2 / Omi antibody - C-terminal(ab229878)

Anti-HtrA2 / Omi antibody - C-terminal(ab229878)

Anti-HtrA2 / Omi antibody - C-terminal(ab229878)

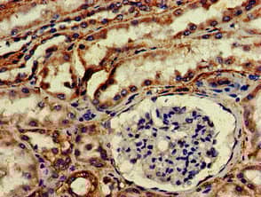
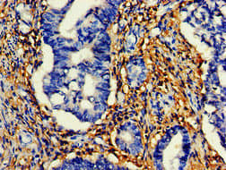
Rabbit Polyclonal HtrA2 / Omi antibody. C-terminal. Suitable for IP, WB, IHC-P and reacts with Human samples. Immunogen corresponding to Recombinant Fragment Protein within Human HTRA2 aa 300 to C-terminus.
Specifications
Shipped At Conditions Blue Ice
Appropriate Long term Storage Conditions Store at -20°C.
Clonality Polyclonal
Applications IHC-P, IP, WB
Species Reactivity Human
Isotype IgG