JavaScript is disabled in your browser. Please enable JavaScript to view this website.

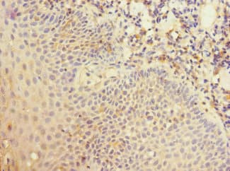
Anti-CD35 antibody(ab229875)

$undefined

Anti-CD35 antibody(ab229875)

Anti-CD35 antibody(ab229875)

Anti-CD35 antibody(ab229875)

Rabbit Polyclonal CD35 antibody. Suitable for WB, IHC-P and reacts with Human samples. Cited in 1 publication. Immunogen corresponding to Recombinant Fragment Protein within Human CR1 aa 400-550.
Specifications
Shipped At Conditions Blue Ice
Appropriate Long term Storage Conditions Store at -20°C.
Clonality Polyclonal
Applications IHC-P, WB
Species Reactivity Human
Isotype IgG