JavaScript is disabled in your browser. Please enable JavaScript to view this website.

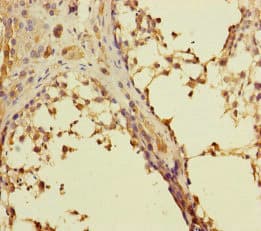
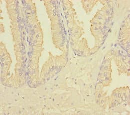
Anti-Rab27B antibody(ab229874)

$undefined

Anti-Rab27B antibody(ab229874)

Anti-Rab27B antibody(ab229874)

Rabbit Polyclonal Rab27B antibody. Suitable for IHC-P and reacts with Human samples. Cited in 2 publications. Immunogen corresponding to Recombinant Full Length Protein corresponding to Human Ras-related protein Rab-27B.
Specifications
Shipped At Conditions Blue Ice
Appropriate Long term Storage Conditions Store at -20°C.
Clonality Polyclonal
Applications IHC-P
Species Reactivity Human
Isotype IgG